Teeth Whitening – Greenwood

Brighten Your Smile with Professional Whitening

At Tylan Creek Family Dentistry, our dental team offers professional teeth whitening solutions designed to remove stubborn stains and rejuvenate your smile. Over time, teeth can become discolored due to coffee, tea, wine, tobacco, and even aging. We provide both in-office and take-home whitening options tailored to each patient’s unique goals. Whether you want a quick boost for a special event or gradual results at home, our team can help you achieve a brighter, more confident smile. Schedule your consultation today to learn more.  

Why Choose Tylan Creek Family Dentistry for Teeth Whitening?

  • Brighter Teeth in Under One Hour with Zoom! Whitening
  • Convenient At-Home Whitening Options for Busy Schedules
  • Flexible Financing Options Available

Who Is a Good Candidate for Teeth Whitening?

a patient showing off her smile

Teeth can become stained in a variety of ways, creating either intrinsic stains (deep within the tooth) or extrinsic stains (on the surface from foods, drinks, or tobacco). Teeth whitening is a great choice for almost any patient who wants to feel more confident in professional and social settings. If you’re looking to refresh your smile and remove years of discoloration, professional whitening at Tylan Creek Family Dentistry can help you achieve natural-looking, lasting results safely and effectively. Keep in mind that patients must also be in decent oral health to receive whitening, but rest assured, our team is also committed to ensuring your smile is ready for this confidence-inspiring treatment.

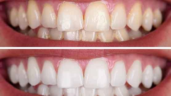
How Does Teeth Whitening Work?

before and after picture of teeth whitening results

Professional teeth whitening works by applying a customized whitening solution to your teeth to safely break up stains and discoloration. Unlike store-bought kits, professional treatments are tailored to your specific needs and the desired shade. Our whitening procedures use proven agents that effectively brighten teeth while minimizing sensitivity, helping you achieve a uniform smile.  

Take-Home Teeth Whitening

Our take-home teeth whitening kits are convenient and effective, allowing you to brighten your smile from the comfort of your home. Unlike over-the-counter products, our professional kits are custom-fitted and use stronger whitening agents for noticeable results. With consistent use over about two weeks, most patients achieve their ideal level of brightness safely and comfortably.

In-Office Teeth Whitening

In-office whitening treatments can be completed in as little as an hour, making them perfect for patients with upcoming events like weddings, interviews, or special celebrations. The professional-grade ingredients are safe and effective, providing immediate results that are both bright and natural-looking. Patients leave our office with a refreshed smile that can last for months with proper care.

Tips for Maintaining Your Brighter Smile

a woman pointing to smile

After teeth whitening, it’s important to maintain your results with good oral hygiene and healthy habits. Avoid foods and drinks that stain teeth, like coffee, tea, and red wine, and enjoy white dairy products to keep teeth strong. Touch-up treatments may be needed over time to sustain your smile. Regular dental visits every six months for checkups and cleanings help preserve your bright, confident smile for years to come.

Understanding the Cost of Teeth Whitening

a patient smiling and pointing at their teeth

Many patients have questions about cosmetic dental treatments like teeth whitening, and many of these questions are centered around how much it’ll cost. However, since every smile is unique and everyone has different goals, the answer will truly vary from person to person. At our office, we believe in providing you with realistic expectations and transparent information concerning teeth whitening, and we’re happy to review some of the factors that determine the cost of teeth whitening so you aren’t hit with any surprises. Just keep reading to learn more!  

Factors That Affect the Cost of Teeth Whitening

a patient smiling while at the dentist’s office

Numerous factors can affect the cost of teeth whitening in Greenwood:

  • Severity & Types of Staining – Patients with severe staining might need more than one treatment to achieve their desired results. Also, keep in mind that stains can occur due to genetics, age, and certain lifestyle habits like smoking or drinking dark-colored beverages. The nature of your staining (intrinsic or extrinsic) can also affect the cost.
  • Existing Dental Restorations – You can’t whiten veneers, crowns, fillings, or other dental restorations the same way you can whiten teeth, meaning they may need to be replaced if you want to whiten the rest of your smile.
  • Other Oral Health Issues – If you have gum disease, untreated cavities, or other unresolved oral health issues, they’ll need to be addressed before you can receive teeth whitening.

Types of Teeth Whitening: What Do They Cost?

a patient preparing a whitening tray

Different types of teeth whitening treatments have their own costs:

  • In-Office Whitening – These treatments normally cost a few hundred dollars (usually between $400 and $800) and can be conveniently performed right here at our office.
  • Take-Home Whitening Kits – These include professional-grade materials better than anything you can buy at the store and custom trays fitted for your smile, and they’re similarly priced to in-office treatments.
  • Store-Bought Whitening Trays – The quality of these options is directly reflected in their lower price. Although they often cost under $100, they produce unexceptional results.
  • Strips, Gels, & Whitening Toothpastes – These options often cost between $20 and $50 and rely on cheaper, diluted bleaching agents. Don’t expect great or lasting results using them.

DIY Teeth Whitening vs. Professional Teeth Whitening

a patient receiving teeth whitening treatment

You might feel tempted to go with cheaper, store-bought whitening solutions—but the truth is, you’ll get exactly what you pay for when you use these options: subpar results! In fact, some patients even report worsened results, sensitivity, or other problems after trying DIY whitening solutions, making their apparent value questionable. On the other hand, our office has the means of producing results that aren’t just dazzling and natural-looking; the process is perfectly safe and overseen by our team, meaning you’re paying for effective results as well as quality and comfort you can trust.

Options for Making Teeth Whitening Affordable

a before-and-after photo showing teeth whitening

Teeth whitening is an elective treatment, meaning that dental insurance does not normally cover it. However, it can still be made more affordable, even if you’re on a limited budget. With the help of CareCredit financing, you can break the cost of your care into flexible installments with low or no interest. Don’t hesitate to ask our team if you have any questions or need assistance signing up.

Teeth Whitening FAQs

How Long Does Teeth Whitening Treatment Take?

How long it takes to achieve your dream smile depends on several factors, including what your dream smile looks like! For example, if you want to address slight discoloration, then it may only take one teeth whitening treatment. If you want to address really stubborn stains, on the other hand, then it may take a few appointments to achieve the results you desire.

Of course, the type of teeth whitening treatment you choose also matters. While in-office treatments can often lighten teeth by up to eight shades in a single visit, take-home options usually take two weeks to achieve the desired results.

To put it simply, the time it takes to create the beautiful smile you desire depends on your unique dental needs and goals. So, if you want a bright, white smile in time for a certain event, like a wedding, don’t wait until the last minute to schedule a consultation. The sooner you come in, the more time we will have to achieve the results you desire.

Is Teeth Whitening Permanent?

Sadly, the results of your teeth whitening treatment won’t last forever. There is good news, though: you can maintain them for 6+ months if you take good care of your smile. Naturally, that starts with a solid at-home oral hygiene regimen. It’s also important that you use a straw when drinking dark-colored beverages, like coffee, avoid tobacco products, and come to our office every six months for a dental cleaning.

Am I a Candidate for Teeth Whitening?

There are several things that candidates for teeth whitening have in common, starting with a desire to address noticeable stains. So, if your pearly whites aren’t living up to their name, don’t hesitate to schedule a consultation with one of our talented cosmetic dentists. That way, they can pinpoint the cause of the discoloration, learn more about your aesthetic goals, and conduct a visual exam. If the stains can be lifted with an in-office or take-home teeth whitening treatment, and your smile is decay and infection-free, then there’s a good chance that the answer will be “yes!”

What’s the Difference Between Professional and Store-Bought Teeth Whitening?

Since the advertisements often claim that store-bought whitening toothpastes, gels, and kits are as good as professional treatments, you might assume that the only difference between the two is price. The truth is that’s just the beginning! In addition to being cheaper, OTC products contain one-size-fits-all applicators and diluted brighteners. They also don’t consider your unique dental needs, including whether you have any existing dental work. Conversely, our professional teeth whitening treatments in Greenwood begin with a comprehensive oral exam and customize every step of the process to you.